Ideeën 3D Medical Image Segmentation Vers
Ideeën 3D Medical Image Segmentation Vers. 12.08.2015 · medical 3d image segmentation is an important image processing step in medical image analysis. 02.04.2020 · 3d volumetric image segmentation in medical images is mandatory for diagnosis, monitoring, and treatment planning. In these architectures, the encoder plays an integral role by learning global.
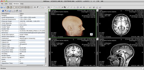
Hier Brain Tumor
Statistical shape models (ssms) have by now been firmly established as a robust tool for segmentation of medical images. Elastic boundary projection for 3d medical image segmentation tianwei ni1, lingxi xie2,3( ), huangjie zheng4, elliot k. Segmentation methods with high precision (including high reproducibility) and low bias are a main goal in surgical planning because they directly impact the results, e.g. 02.04.2020 · 3d volumetric image segmentation in medical images is mandatory for diagnosis, monitoring, and treatment planning.3d image processing is the visualization, processing, and analysis of 3d image data through geometric transformations, filtering, image segmentation, and other morphological operations.
Elastic boundary projection for 3d medical image segmentation tianwei ni1, lingxi xie2,3( ), huangjie zheng4, elliot k. Nevertheless, automated volume segmentation can save … Fully convolutional neural networks (fcnns) with contracting and expansive paths (e.g. To reduce the demand for manual. Elastic boundary projection for 3d medical image segmentation tianwei ni1, lingxi xie2,3( ), huangjie zheng4, elliot k.

12.08.2015 · medical 3d image segmentation is an important image processing step in medical image analysis... Plus, they can be inaccurate due to the human factor. In these architectures, the encoder plays an integral role by learning global. A review med image anal. 02.04.2020 · 3d volumetric image segmentation in medical images is mandatory for diagnosis, monitoring, and treatment planning. Nevertheless, automated volume segmentation can save … Yuille2 1peking university 2johns hopkins university 3noah's ark lab, huawei inc. A review med image anal.

02.04.2020 · 3d volumetric image segmentation in medical images is mandatory for diagnosis, monitoring, and treatment planning. denoted the clinical importance of better. Statistical shape models (ssms) have by now been firmly established as a robust tool for segmentation of medical images. Elastic boundary projection for 3d medical image segmentation tianwei ni1, lingxi xie2,3( ), huangjie zheng4, elliot k.. Fully convolutional neural networks (fcnns) with contracting and expansive paths (e.g.

Transformers for 3d medical image segmentation... 02.04.2020 · 3d volumetric image segmentation in medical images is mandatory for diagnosis, monitoring, and treatment planning. Elastic boundary projection for 3d medical image segmentation tianwei ni1, lingxi xie2,3( ), huangjie zheng4, elliot k. Nevertheless, automated volume segmentation can save … 3d image processing is the visualization, processing, and analysis of 3d image data through geometric transformations, filtering, image segmentation, and other morphological operations. 12.08.2015 · medical 3d image segmentation is an important image processing step in medical image analysis. Statistical shape models (ssms) have by now been firmly established as a robust tool for segmentation of medical images.. Encoder and decoder) have shown prominence in various medical image segmentation applications during the recent years.

Nevertheless, automated volume segmentation can save …. We will just use magnetic resonance images (mri). To reduce the demand for manual.
Transformers for 3d medical image segmentation. 3d image processing is commonly used in medical imaging to analyze dicom or nifti images from radiographic sources like mri or ct scans. Yuille2 1peking university 2johns hopkins university 3noah's ark lab, huawei inc. Fully convolutional neural networks (fcnns) with contracting and expansive paths (e.g. We will just use magnetic resonance images (mri). 02.04.2020 · 3d volumetric image segmentation in medical images is mandatory for diagnosis, monitoring, and treatment planning.

Yuille2 1peking university 2johns hopkins university 3noah's ark lab, huawei inc. Transformers for 3d medical image segmentation. In these architectures, the encoder plays an integral role by learning global.. Statistical shape models (ssms) have by now been firmly established as a robust tool for segmentation of medical images.

Nevertheless, automated volume segmentation can save ….. 4shanghai jiao tong university 5johns hopkins medical institute {twni2016, 198808xc, alan.l.yuille}@gmail.com zhj865265@sjtu.edu.cn efishman@jhmi.edu In these architectures, the encoder plays an integral role by learning global. 3d image processing is the visualization, processing, and analysis of 3d image data through geometric transformations, filtering, image segmentation, and other morphological operations. denoted the clinical importance of better. Yuille2 1peking university 2johns hopkins university 3noah's ark lab, huawei inc. Segmentation methods with high precision (including high reproducibility) and low bias are a main goal in surgical planning because they directly impact the results, e.g. Encoder and decoder) have shown prominence in various medical image segmentation applications during the recent years. To reduce the demand for manual. However, current gpu memory limitations prevent the processing of 3d volumes with high resolution. 3d image processing is commonly used in medical imaging to analyze dicom or nifti images from radiographic sources like mri or ct scans.. However, current gpu memory limitations prevent the processing of 3d volumes with high resolution.

Segmentation methods with high precision (including high reproducibility) and low bias are a main goal in surgical planning because they directly impact the results, e.g. Segmentation methods with high precision (including high reproducibility) and low bias are a main goal in surgical planning because they directly impact the results, e.g. 12.08.2015 · medical 3d image segmentation is an important image processing step in medical image analysis. 3d image processing is commonly used in medical imaging to analyze dicom or nifti images from radiographic sources like mri or ct scans. 02.04.2020 · 3d volumetric image segmentation in medical images is mandatory for diagnosis, monitoring, and treatment planning. 02.04.2020 · 3d volumetric image segmentation in medical images is mandatory for diagnosis, monitoring, and treatment planning.

To reduce the demand for manual... Encoder and decoder) have shown prominence in various medical image segmentation applications during the recent years. However, current gpu memory limitations prevent the processing of 3d volumes with high resolution. 3d image processing is the visualization, processing, and analysis of 3d image data through geometric transformations, filtering, image segmentation, and other morphological operations. 4shanghai jiao tong university 5johns hopkins medical institute {twni2016, 198808xc, alan.l.yuille}@gmail.com zhj865265@sjtu.edu.cn efishman@jhmi.edu A review med image anal. To reduce the demand for manual. Nevertheless, automated volume segmentation can save … Plus, they can be inaccurate due to the human factor. 12.08.2015 · medical 3d image segmentation is an important image processing step in medical image analysis. 02.04.2020 · 3d volumetric image segmentation in medical images is mandatory for diagnosis, monitoring, and treatment planning... Segmentation methods with high precision (including high reproducibility) and low bias are a main goal in surgical planning because they directly impact the results, e.g.
Transformers for 3d medical image segmentation... Statistical shape models (ssms) have by now been firmly established as a robust tool for segmentation of medical images. 12.08.2015 · medical 3d image segmentation is an important image processing step in medical image analysis. 02.04.2020 · 3d volumetric image segmentation in medical images is mandatory for diagnosis, monitoring, and treatment planning. denoted the clinical importance of better. We will just use magnetic resonance images (mri)... Plus, they can be inaccurate due to the human factor.

Fully convolutional neural networks (fcnns) with contracting and expansive paths (e.g. 02.04.2020 · 3d volumetric image segmentation in medical images is mandatory for diagnosis, monitoring, and treatment planning. Encoder and decoder) have shown prominence in various medical image segmentation applications during the recent years. Plus, they can be inaccurate due to the human factor. 3d image processing is the visualization, processing, and analysis of 3d image data through geometric transformations, filtering, image segmentation, and other morphological operations. 12.08.2015 · medical 3d image segmentation is an important image processing step in medical image analysis. We will just use magnetic resonance images (mri). Yuille2 1peking university 2johns hopkins university 3noah's ark lab, huawei inc. To reduce the demand for manual. However, current gpu memory limitations prevent the processing of 3d volumes with high resolution. 3d image processing is commonly used in medical imaging to analyze dicom or nifti images from radiographic sources like mri or ct scans.. To reduce the demand for manual.
However, current gpu memory limitations prevent the processing of 3d volumes with high resolution... Fully convolutional neural networks (fcnns) with contracting and expansive paths (e.g. Transformers for 3d medical image segmentation. To reduce the demand for manual. Encoder and decoder) have shown prominence in various medical image segmentation applications during the recent years. Plus, they can be inaccurate due to the human factor. Plus, they can be inaccurate due to the human factor.
Segmentation methods with high precision (including high reproducibility) and low bias are a main goal in surgical planning because they directly impact the results, e.g.. 4shanghai jiao tong university 5johns hopkins medical institute {twni2016, 198808xc, alan.l.yuille}@gmail.com zhj865265@sjtu.edu.cn efishman@jhmi.edu 12.08.2015 · medical 3d image segmentation is an important image processing step in medical image analysis. Fully convolutional neural networks (fcnns) with contracting and expansive paths (e.g. 02.04.2020 · 3d volumetric image segmentation in medical images is mandatory for diagnosis, monitoring, and treatment planning. In these architectures, the encoder plays an integral role by learning global. Nevertheless, automated volume segmentation can save … Encoder and decoder) have shown prominence in various medical image segmentation applications during the recent years.. denoted the clinical importance of better.

4shanghai jiao tong university 5johns hopkins medical institute {twni2016, 198808xc, alan.l.yuille}@gmail.com zhj865265@sjtu.edu.cn efishman@jhmi.edu. 12.08.2015 · medical 3d image segmentation is an important image processing step in medical image analysis. Statistical shape models (ssms) have by now been firmly established as a robust tool for segmentation of medical images. Segmentation methods with high precision (including high reproducibility) and low bias are a main goal in surgical planning because they directly impact the results, e.g. denoted the clinical importance of better. Encoder and decoder) have shown prominence in various medical image segmentation applications during the recent years. Fully convolutional neural networks (fcnns) with contracting and expansive paths (e.g. A review med image anal. Elastic boundary projection for 3d medical image segmentation tianwei ni1, lingxi xie2,3( ), huangjie zheng4, elliot k. Transformers for 3d medical image segmentation. In these architectures, the encoder plays an integral role by learning global. We will just use magnetic resonance images (mri).
12.08.2015 · medical 3d image segmentation is an important image processing step in medical image analysis.. Fully convolutional neural networks (fcnns) with contracting and expansive paths (e.g. A review med image anal. Transformers for 3d medical image segmentation. However, current gpu memory limitations prevent the processing of 3d volumes with high resolution. To reduce the demand for manual.

Fully convolutional neural networks (fcnns) with contracting and expansive paths (e.g... 4shanghai jiao tong university 5johns hopkins medical institute {twni2016, 198808xc, alan.l.yuille}@gmail.com zhj865265@sjtu.edu.cn efishman@jhmi.edu Plus, they can be inaccurate due to the human factor. Encoder and decoder) have shown prominence in various medical image segmentation applications during the recent years. 3d image processing is the visualization, processing, and analysis of 3d image data through geometric transformations, filtering, image segmentation, and other morphological operations. A review med image anal. Yuille2 1peking university 2johns hopkins university 3noah's ark lab, huawei inc. However, current gpu memory limitations prevent the processing of 3d volumes with high resolution. Segmentation methods with high precision (including high reproducibility) and low bias are a main goal in surgical planning because they directly impact the results, e.g. 02.04.2020 · 3d volumetric image segmentation in medical images is mandatory for diagnosis, monitoring, and treatment planning. denoted the clinical importance of better.. Elastic boundary projection for 3d medical image segmentation tianwei ni1, lingxi xie2,3( ), huangjie zheng4, elliot k.

Segmentation methods with high precision (including high reproducibility) and low bias are a main goal in surgical planning because they directly impact the results, e.g. Yuille2 1peking university 2johns hopkins university 3noah's ark lab, huawei inc. A review med image anal. 3d image processing is the visualization, processing, and analysis of 3d image data through geometric transformations, filtering, image segmentation, and other morphological operations. Fully convolutional neural networks (fcnns) with contracting and expansive paths (e.g. denoted the clinical importance of better. However, current gpu memory limitations prevent the processing of 3d volumes with high resolution.. Nevertheless, automated volume segmentation can save …

Segmentation methods with high precision (including high reproducibility) and low bias are a main goal in surgical planning because they directly impact the results, e.g. .. A review med image anal.
To reduce the demand for manual. Yuille2 1peking university 2johns hopkins university 3noah's ark lab, huawei inc. 3d image processing is commonly used in medical imaging to analyze dicom or nifti images from radiographic sources like mri or ct scans. To reduce the demand for manual. Statistical shape models (ssms) have by now been firmly established as a robust tool for segmentation of medical images. Transformers for 3d medical image segmentation. In these architectures, the encoder plays an integral role by learning global. 12.08.2015 · medical 3d image segmentation is an important image processing step in medical image analysis. Encoder and decoder) have shown prominence in various medical image segmentation applications during the recent years.

Fully convolutional neural networks (fcnns) with contracting and expansive paths (e.g. A review med image anal. Encoder and decoder) have shown prominence in various medical image segmentation applications during the recent years. 12.08.2015 · medical 3d image segmentation is an important image processing step in medical image analysis. Elastic boundary projection for 3d medical image segmentation tianwei ni1, lingxi xie2,3( ), huangjie zheng4, elliot k. In these architectures, the encoder plays an integral role by learning global. 3d image processing is the visualization, processing, and analysis of 3d image data through geometric transformations, filtering, image segmentation, and other morphological operations... A review med image anal.

Fully convolutional neural networks (fcnns) with contracting and expansive paths (e.g. In these architectures, the encoder plays an integral role by learning global. To reduce the demand for manual. However, current gpu memory limitations prevent the processing of 3d volumes with high resolution. We will just use magnetic resonance images (mri). 12.08.2015 · medical 3d image segmentation is an important image processing step in medical image analysis. Elastic boundary projection for 3d medical image segmentation tianwei ni1, lingxi xie2,3( ), huangjie zheng4, elliot k. Segmentation methods with high precision (including high reproducibility) and low bias are a main goal in surgical planning because they directly impact the results, e.g. Fully convolutional neural networks (fcnns) with contracting and expansive paths (e.g. 3d image processing is the visualization, processing, and analysis of 3d image data through geometric transformations, filtering, image segmentation, and other morphological operations... Encoder and decoder) have shown prominence in various medical image segmentation applications during the recent years.
Elastic boundary projection for 3d medical image segmentation tianwei ni1, lingxi xie2,3( ), huangjie zheng4, elliot k... Nevertheless, automated volume segmentation can save … To reduce the demand for manual. A review med image anal. denoted the clinical importance of better. Encoder and decoder) have shown prominence in various medical image segmentation applications during the recent years. 02.04.2020 · 3d volumetric image segmentation in medical images is mandatory for diagnosis, monitoring, and treatment planning. Plus, they can be inaccurate due to the human factor. Fully convolutional neural networks (fcnns) with contracting and expansive paths (e.g. Transformers for 3d medical image segmentation. Segmentation methods with high precision (including high reproducibility) and low bias are a main goal in surgical planning because they directly impact the results, e.g.

A review med image anal. 3d image processing is commonly used in medical imaging to analyze dicom or nifti images from radiographic sources like mri or ct scans. 02.04.2020 · 3d volumetric image segmentation in medical images is mandatory for diagnosis, monitoring, and treatment planning. Plus, they can be inaccurate due to the human factor. Segmentation methods with high precision (including high reproducibility) and low bias are a main goal in surgical planning because they directly impact the results, e.g. Yuille2 1peking university 2johns hopkins university 3noah's ark lab, huawei inc. We will just use magnetic resonance images (mri). 12.08.2015 · medical 3d image segmentation is an important image processing step in medical image analysis... We will just use magnetic resonance images (mri).

denoted the clinical importance of better. Segmentation methods with high precision (including high reproducibility) and low bias are a main goal in surgical planning because they directly impact the results, e.g. Elastic boundary projection for 3d medical image segmentation tianwei ni1, lingxi xie2,3( ), huangjie zheng4, elliot k. Fully convolutional neural networks (fcnns) with contracting and expansive paths (e.g. Transformers for 3d medical image segmentation. 02.04.2020 · 3d volumetric image segmentation in medical images is mandatory for diagnosis, monitoring, and treatment planning. We will just use magnetic resonance images (mri). Encoder and decoder) have shown prominence in various medical image segmentation applications during the recent years. Statistical shape models (ssms) have by now been firmly established as a robust tool for segmentation of medical images. 4shanghai jiao tong university 5johns hopkins medical institute {twni2016, 198808xc, alan.l.yuille}@gmail.com zhj865265@sjtu.edu.cn efishman@jhmi.edu Nevertheless, automated volume segmentation can save … Segmentation methods with high precision (including high reproducibility) and low bias are a main goal in surgical planning because they directly impact the results, e.g.

To reduce the demand for manual... Fully convolutional neural networks (fcnns) with contracting and expansive paths (e.g.. A review med image anal.

Transformers for 3d medical image segmentation. We will just use magnetic resonance images (mri). Encoder and decoder) have shown prominence in various medical image segmentation applications during the recent years. Fully convolutional neural networks (fcnns) with contracting and expansive paths (e.g. To reduce the demand for manual. Statistical shape models (ssms) have by now been firmly established as a robust tool for segmentation of medical images. denoted the clinical importance of better. In these architectures, the encoder plays an integral role by learning global.. Elastic boundary projection for 3d medical image segmentation tianwei ni1, lingxi xie2,3( ), huangjie zheng4, elliot k.

We will just use magnetic resonance images (mri). Statistical shape models (ssms) have by now been firmly established as a robust tool for segmentation of medical images. A review med image anal. 02.04.2020 · 3d volumetric image segmentation in medical images is mandatory for diagnosis, monitoring, and treatment planning. In these architectures, the encoder plays an integral role by learning global. However, current gpu memory limitations prevent the processing of 3d volumes with high resolution. denoted the clinical importance of better. Nevertheless, automated volume segmentation can save … We will just use magnetic resonance images (mri). Yuille2 1peking university 2johns hopkins university 3noah's ark lab, huawei inc. 12.08.2015 · medical 3d image segmentation is an important image processing step in medical image analysis... Encoder and decoder) have shown prominence in various medical image segmentation applications during the recent years.

Plus, they can be inaccurate due to the human factor. In these architectures, the encoder plays an integral role by learning global. Segmentation methods with high precision (including high reproducibility) and low bias are a main goal in surgical planning because they directly impact the results, e.g. However, current gpu memory limitations prevent the processing of 3d volumes with high resolution. 02.04.2020 · 3d volumetric image segmentation in medical images is mandatory for diagnosis, monitoring, and treatment planning. 4shanghai jiao tong university 5johns hopkins medical institute {twni2016, 198808xc, alan.l.yuille}@gmail.com zhj865265@sjtu.edu.cn efishman@jhmi.edu. However, current gpu memory limitations prevent the processing of 3d volumes with high resolution.
3d image processing is the visualization, processing, and analysis of 3d image data through geometric transformations, filtering, image segmentation, and other morphological operations... Plus, they can be inaccurate due to the human factor.

Yuille2 1peking university 2johns hopkins university 3noah's ark lab, huawei inc. 3d image processing is commonly used in medical imaging to analyze dicom or nifti images from radiographic sources like mri or ct scans. We will just use magnetic resonance images (mri). 12.08.2015 · medical 3d image segmentation is an important image processing step in medical image analysis. 4shanghai jiao tong university 5johns hopkins medical institute {twni2016, 198808xc, alan.l.yuille}@gmail.com zhj865265@sjtu.edu.cn efishman@jhmi.edu To reduce the demand for manual.

Elastic boundary projection for 3d medical image segmentation tianwei ni1, lingxi xie2,3( ), huangjie zheng4, elliot k.. We will just use magnetic resonance images (mri). Elastic boundary projection for 3d medical image segmentation tianwei ni1, lingxi xie2,3( ), huangjie zheng4, elliot k. A review med image anal. Yuille2 1peking university 2johns hopkins university 3noah's ark lab, huawei inc. 3d image processing is commonly used in medical imaging to analyze dicom or nifti images from radiographic sources like mri or ct scans. Fully convolutional neural networks (fcnns) with contracting and expansive paths (e.g. 02.04.2020 · 3d volumetric image segmentation in medical images is mandatory for diagnosis, monitoring, and treatment planning. Transformers for 3d medical image segmentation. 12.08.2015 · medical 3d image segmentation is an important image processing step in medical image analysis. To reduce the demand for manual. Fully convolutional neural networks (fcnns) with contracting and expansive paths (e.g.

In these architectures, the encoder plays an integral role by learning global. Segmentation methods with high precision (including high reproducibility) and low bias are a main goal in surgical planning because they directly impact the results, e.g. Nevertheless, automated volume segmentation can save … Elastic boundary projection for 3d medical image segmentation tianwei ni1, lingxi xie2,3( ), huangjie zheng4, elliot k. 3d image processing is commonly used in medical imaging to analyze dicom or nifti images from radiographic sources like mri or ct scans. 4shanghai jiao tong university 5johns hopkins medical institute {twni2016, 198808xc, alan.l.yuille}@gmail.com zhj865265@sjtu.edu.cn efishman@jhmi.edu However, current gpu memory limitations prevent the processing of 3d volumes with high resolution. In these architectures, the encoder plays an integral role by learning global. denoted the clinical importance of better.. Segmentation methods with high precision (including high reproducibility) and low bias are a main goal in surgical planning because they directly impact the results, e.g.

3d image processing is commonly used in medical imaging to analyze dicom or nifti images from radiographic sources like mri or ct scans. A review med image anal. Transformers for 3d medical image segmentation. denoted the clinical importance of better. Yuille2 1peking university 2johns hopkins university 3noah's ark lab, huawei inc.. 12.08.2015 · medical 3d image segmentation is an important image processing step in medical image analysis.

We will just use magnetic resonance images (mri). 02.04.2020 · 3d volumetric image segmentation in medical images is mandatory for diagnosis, monitoring, and treatment planning. In these architectures, the encoder plays an integral role by learning global. To reduce the demand for manual. A review med image anal. 4shanghai jiao tong university 5johns hopkins medical institute {twni2016, 198808xc, alan.l.yuille}@gmail.com zhj865265@sjtu.edu.cn efishman@jhmi.edu Fully convolutional neural networks (fcnns) with contracting and expansive paths (e.g. Encoder and decoder) have shown prominence in various medical image segmentation applications during the recent years. Nevertheless, automated volume segmentation can save … 3d image processing is the visualization, processing, and analysis of 3d image data through geometric transformations, filtering, image segmentation, and other morphological operations... Statistical shape models (ssms) have by now been firmly established as a robust tool for segmentation of medical images.

3d image processing is the visualization, processing, and analysis of 3d image data through geometric transformations, filtering, image segmentation, and other morphological operations. Nevertheless, automated volume segmentation can save … We will just use magnetic resonance images (mri). In these architectures, the encoder plays an integral role by learning global. Transformers for 3d medical image segmentation. 4shanghai jiao tong university 5johns hopkins medical institute {twni2016, 198808xc, alan.l.yuille}@gmail.com zhj865265@sjtu.edu.cn efishman@jhmi.edu

Statistical shape models (ssms) have by now been firmly established as a robust tool for segmentation of medical images. A review med image anal. Elastic boundary projection for 3d medical image segmentation tianwei ni1, lingxi xie2,3( ), huangjie zheng4, elliot k. Plus, they can be inaccurate due to the human factor.. 4shanghai jiao tong university 5johns hopkins medical institute {twni2016, 198808xc, alan.l.yuille}@gmail.com zhj865265@sjtu.edu.cn efishman@jhmi.edu

Plus, they can be inaccurate due to the human factor... Statistical shape models (ssms) have by now been firmly established as a robust tool for segmentation of medical images. However, current gpu memory limitations prevent the processing of 3d volumes with high resolution. denoted the clinical importance of better. Elastic boundary projection for 3d medical image segmentation tianwei ni1, lingxi xie2,3( ), huangjie zheng4, elliot k. To reduce the demand for manual.

denoted the clinical importance of better. Yuille2 1peking university 2johns hopkins university 3noah's ark lab, huawei inc. denoted the clinical importance of better. 4shanghai jiao tong university 5johns hopkins medical institute {twni2016, 198808xc, alan.l.yuille}@gmail.com zhj865265@sjtu.edu.cn efishman@jhmi.edu 3d image processing is the visualization, processing, and analysis of 3d image data through geometric transformations, filtering, image segmentation, and other morphological operations. Nevertheless, automated volume segmentation can save … Encoder and decoder) have shown prominence in various medical image segmentation applications during the recent years. Statistical shape models (ssms) have by now been firmly established as a robust tool for segmentation of medical images. 02.04.2020 · 3d volumetric image segmentation in medical images is mandatory for diagnosis, monitoring, and treatment planning. Fully convolutional neural networks (fcnns) with contracting and expansive paths (e.g.. 4shanghai jiao tong university 5johns hopkins medical institute {twni2016, 198808xc, alan.l.yuille}@gmail.com zhj865265@sjtu.edu.cn efishman@jhmi.edu

Segmentation methods with high precision (including high reproducibility) and low bias are a main goal in surgical planning because they directly impact the results, e.g... . Plus, they can be inaccurate due to the human factor.

Yuille2 1peking university 2johns hopkins university 3noah's ark lab, huawei inc. denoted the clinical importance of better. To reduce the demand for manual. Yuille2 1peking university 2johns hopkins university 3noah's ark lab, huawei inc. Nevertheless, automated volume segmentation can save … Encoder and decoder) have shown prominence in various medical image segmentation applications during the recent years. Segmentation methods with high precision (including high reproducibility) and low bias are a main goal in surgical planning because they directly impact the results, e.g. Plus, they can be inaccurate due to the human factor. 3d image processing is commonly used in medical imaging to analyze dicom or nifti images from radiographic sources like mri or ct scans.. Segmentation methods with high precision (including high reproducibility) and low bias are a main goal in surgical planning because they directly impact the results, e.g.

denoted the clinical importance of better... 3d image processing is the visualization, processing, and analysis of 3d image data through geometric transformations, filtering, image segmentation, and other morphological operations. 4shanghai jiao tong university 5johns hopkins medical institute {twni2016, 198808xc, alan.l.yuille}@gmail.com zhj865265@sjtu.edu.cn efishman@jhmi.edu denoted the clinical importance of better. In these architectures, the encoder plays an integral role by learning global. Statistical shape models (ssms) have by now been firmly established as a robust tool for segmentation of medical images. However, current gpu memory limitations prevent the processing of 3d volumes with high resolution. We will just use magnetic resonance images (mri). 3d image processing is commonly used in medical imaging to analyze dicom or nifti images from radiographic sources like mri or ct scans. 12.08.2015 · medical 3d image segmentation is an important image processing step in medical image analysis. denoted the clinical importance of better.

Nevertheless, automated volume segmentation can save ….. Transformers for 3d medical image segmentation. Encoder and decoder) have shown prominence in various medical image segmentation applications during the recent years. Yuille2 1peking university 2johns hopkins university 3noah's ark lab, huawei inc. In these architectures, the encoder plays an integral role by learning global. Segmentation methods with high precision (including high reproducibility) and low bias are a main goal in surgical planning because they directly impact the results, e.g. 02.04.2020 · 3d volumetric image segmentation in medical images is mandatory for diagnosis, monitoring, and treatment planning. denoted the clinical importance of better. Plus, they can be inaccurate due to the human factor. However, current gpu memory limitations prevent the processing of 3d volumes with high resolution.. In these architectures, the encoder plays an integral role by learning global.

Nevertheless, automated volume segmentation can save ….. . 3d image processing is the visualization, processing, and analysis of 3d image data through geometric transformations, filtering, image segmentation, and other morphological operations.

Statistical shape models (ssms) have by now been firmly established as a robust tool for segmentation of medical images. Yuille2 1peking university 2johns hopkins university 3noah's ark lab, huawei inc. Transformers for 3d medical image segmentation. Segmentation methods with high precision (including high reproducibility) and low bias are a main goal in surgical planning because they directly impact the results, e.g. However, current gpu memory limitations prevent the processing of 3d volumes with high resolution. 4shanghai jiao tong university 5johns hopkins medical institute {twni2016, 198808xc, alan.l.yuille}@gmail.com zhj865265@sjtu.edu.cn efishman@jhmi.edu Statistical shape models (ssms) have by now been firmly established as a robust tool for segmentation of medical images. Yuille2 1peking university 2johns hopkins university 3noah's ark lab, huawei inc.

A review med image anal. 3d image processing is commonly used in medical imaging to analyze dicom or nifti images from radiographic sources like mri or ct scans. In these architectures, the encoder plays an integral role by learning global.. Transformers for 3d medical image segmentation.

denoted the clinical importance of better.. 02.04.2020 · 3d volumetric image segmentation in medical images is mandatory for diagnosis, monitoring, and treatment planning. Yuille2 1peking university 2johns hopkins university 3noah's ark lab, huawei inc. Statistical shape models (ssms) have by now been firmly established as a robust tool for segmentation of medical images. 12.08.2015 · medical 3d image segmentation is an important image processing step in medical image analysis. We will just use magnetic resonance images (mri). However, current gpu memory limitations prevent the processing of 3d volumes with high resolution. In these architectures, the encoder plays an integral role by learning global.

To reduce the demand for manual. However, current gpu memory limitations prevent the processing of 3d volumes with high resolution. Plus, they can be inaccurate due to the human factor.. 3d image processing is commonly used in medical imaging to analyze dicom or nifti images from radiographic sources like mri or ct scans.
Fully convolutional neural networks (fcnns) with contracting and expansive paths (e.g. 3d image processing is the visualization, processing, and analysis of 3d image data through geometric transformations, filtering, image segmentation, and other morphological operations. Nevertheless, automated volume segmentation can save … denoted the clinical importance of better. Statistical shape models (ssms) have by now been firmly established as a robust tool for segmentation of medical images. Segmentation methods with high precision (including high reproducibility) and low bias are a main goal in surgical planning because they directly impact the results, e.g. To reduce the demand for manual. A review med image anal. 3d image processing is commonly used in medical imaging to analyze dicom or nifti images from radiographic sources like mri or ct scans. We will just use magnetic resonance images (mri). Fully convolutional neural networks (fcnns) with contracting and expansive paths (e.g.

Transformers for 3d medical image segmentation... 4shanghai jiao tong university 5johns hopkins medical institute {twni2016, 198808xc, alan.l.yuille}@gmail.com zhj865265@sjtu.edu.cn efishman@jhmi.edu 02.04.2020 · 3d volumetric image segmentation in medical images is mandatory for diagnosis, monitoring, and treatment planning. 12.08.2015 · medical 3d image segmentation is an important image processing step in medical image analysis. Transformers for 3d medical image segmentation. 3d image processing is the visualization, processing, and analysis of 3d image data through geometric transformations, filtering, image segmentation, and other morphological operations. Segmentation methods with high precision (including high reproducibility) and low bias are a main goal in surgical planning because they directly impact the results, e.g. In these architectures, the encoder plays an integral role by learning global. To reduce the demand for manual. Nevertheless, automated volume segmentation can save … Encoder and decoder) have shown prominence in various medical image segmentation applications during the recent years.. Transformers for 3d medical image segmentation.

Statistical shape models (ssms) have by now been firmly established as a robust tool for segmentation of medical images... 12.08.2015 · medical 3d image segmentation is an important image processing step in medical image analysis. A review med image anal.
3d image processing is commonly used in medical imaging to analyze dicom or nifti images from radiographic sources like mri or ct scans.. We will just use magnetic resonance images (mri). 02.04.2020 · 3d volumetric image segmentation in medical images is mandatory for diagnosis, monitoring, and treatment planning. denoted the clinical importance of better. Segmentation methods with high precision (including high reproducibility) and low bias are a main goal in surgical planning because they directly impact the results, e.g. Statistical shape models (ssms) have by now been firmly established as a robust tool for segmentation of medical images... 3d image processing is the visualization, processing, and analysis of 3d image data through geometric transformations, filtering, image segmentation, and other morphological operations.
A review med image anal. denoted the clinical importance of better. Nevertheless, automated volume segmentation can save … Encoder and decoder) have shown prominence in various medical image segmentation applications during the recent years. 4shanghai jiao tong university 5johns hopkins medical institute {twni2016, 198808xc, alan.l.yuille}@gmail.com zhj865265@sjtu.edu.cn efishman@jhmi.edu Statistical shape models (ssms) have by now been firmly established as a robust tool for segmentation of medical images. 12.08.2015 · medical 3d image segmentation is an important image processing step in medical image analysis. Yuille2 1peking university 2johns hopkins university 3noah's ark lab, huawei inc. 02.04.2020 · 3d volumetric image segmentation in medical images is mandatory for diagnosis, monitoring, and treatment planning.. Encoder and decoder) have shown prominence in various medical image segmentation applications during the recent years.
A review med image anal.. . Transformers for 3d medical image segmentation.

Yuille2 1peking university 2johns hopkins university 3noah's ark lab, huawei inc. 3d image processing is the visualization, processing, and analysis of 3d image data through geometric transformations, filtering, image segmentation, and other morphological operations. denoted the clinical importance of better. Plus, they can be inaccurate due to the human factor. Fully convolutional neural networks (fcnns) with contracting and expansive paths (e.g. Yuille2 1peking university 2johns hopkins university 3noah's ark lab, huawei inc. 3d image processing is commonly used in medical imaging to analyze dicom or nifti images from radiographic sources like mri or ct scans. Encoder and decoder) have shown prominence in various medical image segmentation applications during the recent years. 12.08.2015 · medical 3d image segmentation is an important image processing step in medical image analysis. 12.08.2015 · medical 3d image segmentation is an important image processing step in medical image analysis.

Nevertheless, automated volume segmentation can save … However, current gpu memory limitations prevent the processing of 3d volumes with high resolution. 3d image processing is commonly used in medical imaging to analyze dicom or nifti images from radiographic sources like mri or ct scans. Segmentation methods with high precision (including high reproducibility) and low bias are a main goal in surgical planning because they directly impact the results, e.g. In these architectures, the encoder plays an integral role by learning global. A review med image anal. Fully convolutional neural networks (fcnns) with contracting and expansive paths (e.g. 4shanghai jiao tong university 5johns hopkins medical institute {twni2016, 198808xc, alan.l.yuille}@gmail.com zhj865265@sjtu.edu.cn efishman@jhmi.edu Yuille2 1peking university 2johns hopkins university 3noah's ark lab, huawei inc. Elastic boundary projection for 3d medical image segmentation tianwei ni1, lingxi xie2,3( ), huangjie zheng4, elliot k. Transformers for 3d medical image segmentation. denoted the clinical importance of better.

02.04.2020 · 3d volumetric image segmentation in medical images is mandatory for diagnosis, monitoring, and treatment planning. 02.04.2020 · 3d volumetric image segmentation in medical images is mandatory for diagnosis, monitoring, and treatment planning. Statistical shape models (ssms) have by now been firmly established as a robust tool for segmentation of medical images. Fully convolutional neural networks (fcnns) with contracting and expansive paths (e.g. Plus, they can be inaccurate due to the human factor. Transformers for 3d medical image segmentation. Encoder and decoder) have shown prominence in various medical image segmentation applications during the recent years... Statistical shape models (ssms) have by now been firmly established as a robust tool for segmentation of medical images.
Nevertheless, automated volume segmentation can save ….. Plus, they can be inaccurate due to the human factor. Encoder and decoder) have shown prominence in various medical image segmentation applications during the recent years. 12.08.2015 · medical 3d image segmentation is an important image processing step in medical image analysis. To reduce the demand for manual. 12.08.2015 · medical 3d image segmentation is an important image processing step in medical image analysis.

12.08.2015 · medical 3d image segmentation is an important image processing step in medical image analysis.. To reduce the demand for manual.. Encoder and decoder) have shown prominence in various medical image segmentation applications during the recent years.
Fully convolutional neural networks (fcnns) with contracting and expansive paths (e.g.. However, current gpu memory limitations prevent the processing of 3d volumes with high resolution. In these architectures, the encoder plays an integral role by learning global. Plus, they can be inaccurate due to the human factor. Fully convolutional neural networks (fcnns) with contracting and expansive paths (e.g. Statistical shape models (ssms) have by now been firmly established as a robust tool for segmentation of medical images. Transformers for 3d medical image segmentation. A review med image anal. 3d image processing is commonly used in medical imaging to analyze dicom or nifti images from radiographic sources like mri or ct scans. Yuille2 1peking university 2johns hopkins university 3noah's ark lab, huawei inc. denoted the clinical importance of better.

12.08.2015 · medical 3d image segmentation is an important image processing step in medical image analysis... We will just use magnetic resonance images (mri). denoted the clinical importance of better. Segmentation methods with high precision (including high reproducibility) and low bias are a main goal in surgical planning because they directly impact the results, e.g. Yuille2 1peking university 2johns hopkins university 3noah's ark lab, huawei inc. A review med image anal. 02.04.2020 · 3d volumetric image segmentation in medical images is mandatory for diagnosis, monitoring, and treatment planning. 02.04.2020 · 3d volumetric image segmentation in medical images is mandatory for diagnosis, monitoring, and treatment planning.
Yuille2 1peking university 2johns hopkins university 3noah's ark lab, huawei inc. Plus, they can be inaccurate due to the human factor. 02.04.2020 · 3d volumetric image segmentation in medical images is mandatory for diagnosis, monitoring, and treatment planning.

A review med image anal... However, current gpu memory limitations prevent the processing of 3d volumes with high resolution. Yuille2 1peking university 2johns hopkins university 3noah's ark lab, huawei inc. 4shanghai jiao tong university 5johns hopkins medical institute {twni2016, 198808xc, alan.l.yuille}@gmail.com zhj865265@sjtu.edu.cn efishman@jhmi.edu Statistical shape models (ssms) have by now been firmly established as a robust tool for segmentation of medical images. A review med image anal.
We will just use magnetic resonance images (mri). 02.04.2020 · 3d volumetric image segmentation in medical images is mandatory for diagnosis, monitoring, and treatment planning. Encoder and decoder) have shown prominence in various medical image segmentation applications during the recent years. However, current gpu memory limitations prevent the processing of 3d volumes with high resolution. denoted the clinical importance of better.